Los cachorros son como bebés, pues les lleva tiempo aprender qué es bueno o malo para ellos. Tampoco saben qué pueden o no comer... como le pasó a este cachorro.
Su nombre es Boots, un pitbull mezclado con labrador, de tan solo ocho meses de edad que comió algo que no debía.
Un cachorrito algo nervioso...
Su cuidador, Christian Nunnelee, que hizo pública esta historia en sus redes sociales en 2017, vive en San Antonio, Texas, y tuvo que llevar a su perro de emergencia al Hospital Animal de San Antonio después de que se tragara una cuchara.
¡Nadie daba crédito a lo sucedido!

No se sabe muy bien cómo el perro consiguió tragarse una cuchara de tamaño normal de un bocado como si de su ración de comida se tratase.

Nunnelee intentó sacarle la cuchara de la boca a su perro, y después le practicó la maniobra Heimlich, pero el utensilio ya había pasado por el esófago y no pudo hacer nada más que llevarlo corriendo al veterinario.
Cabe destacar, a tenor de las palabras de Nunnelee, que el pitbull se encontraba perfectamente, como si nada.
Lo que encontraron en el hospital

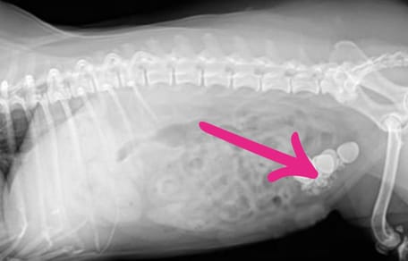
Los veterinarios vieron la cuchara en el interior del perro gracias a una radiografía. Actuaron rápido: pusieron anestesia al animal y sacaron el cubierto de su estómago. Según parece, era la primera vez que veían algo así...
Afortunadamente, todo quedó en un susto y Boots volvió a su casa tan tranquilo como se ve en la siguiente foto, ¡como si no hubiera pasado nada!
